8月10日上午,我院呼吸内科成功自主开展全县首例经支气管针吸活检术(TBNA)。该技术是我院首例独立开展的TBNA,标志着我院的呼吸内镜技术迈上了一个新台阶,填补了我县卫生系统多年来在此技术领域的空白。
以往我院碰到类似病例无法明确诊断时,只能建议患者赴上级医院就诊。今年科室添置了电子支气管治疗镜,TBNA技术得以顺利开展,这将大大提高医院呼吸疑难疾病、尤其是肺部肿瘤合并纵隔淋巴结转移患者的诊断水平,从而缩短了患者的就诊时间,也节省了费用。
病例摘要
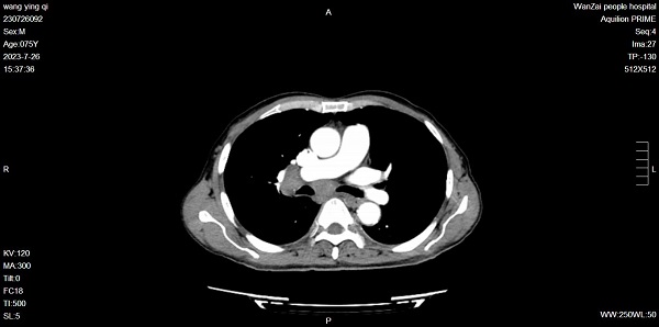
患者是一名74岁的男性,体检肺部CT发现右肺占位伴纵隔淋巴结转移,查体无特殊。

肺部增强CT提示隆突下及右肺门肿大淋巴结


手术图片

细胞涂片结果
什么是TBNA?
经支气管针吸活检术(TBNA)是应用一种特制的带有可弯曲导管的穿刺针,通过纤维支气管镜的活检孔道送入气道内,然后穿透气道壁对气管、支气管腔外病变,如结节、肿块、肿大的淋巴结以及肺部的病灶进行针刺吸引,获取细胞或组织标本进行细胞学和病理学检查的一种新技术,广泛应用于紧贴气管、支气管周围病灶的定性诊断,并使支气管镜技术参与到恶性肿瘤的临床分期。该技术操作难度较大,对操作医师的经验技术和影像水平都有较高的要求。
TBNA适应症
一、主要适应症
1.纵隔或肺门淋巴结;
2.对已知或怀疑肺癌进行分期;
3.气管外病变对气管的外压病灶;
4.粘膜下病变;
5.肺周围性结节。
二、次要适应症
1.对气道内坏死肿瘤、出血性肿瘤病变建立诊断;
2.预测外科切除线;
3.追踪小细胞肿瘤;
4.对纵膈囊肿及脓肿进行诊断及引流。
TBNA禁忌症
TBNA无特殊禁忌症,适合支气管镜检查的患者同样适合TBNA,通常认为下列情况应为TBNA的禁忌证:
1.肺功能严重损害,不能耐受检查者。
2.心功能不全、严重高血压或心律失常者。
3.全身状态或其他器官极度衰竭者。
4.主动脉瘤。
5.出、凝血机制严重障碍者。
6.哮喘发作或大咯血。
7.麻醉药过敏、不能用其他药物代替者。
8.拟选穿刺点如果有明显感染亦不适宜进行TBNA。
TBNA的优势
比钳检、刷检引起的出血要少,且其更适于坏死 性的或粘膜下病变的诊断;不必在坏死组织的表面或正常粘膜上重复取样,而可直接深入到具有活力组织之内;对疑有癌症的患者可很快地获取细胞学标本;提高了从气管外获取组织的机会,能在通常采用 钳检、刷检取不到的地方获取组织(特别是中心型小细胞肺癌在肺瘤尚未侵入气管内的病例);较钳检、刷检操作简单,阳性率高,并发症极少。
呼吸与危重症医学科简介
宜春学院第一附属医院 万载县人民医院呼吸内科成立于2019年,2021年达到国家二级医院专科建设标准,更名为呼吸与危重症医学科,现有专科医师6人,主任医师1人,主治医师5人,分别到广州呼吸疾病研究所、中南大学湘雅医院、南昌大学第一附属医院、第二附属医院等呼吸内科及重症医学科进修学习。科室开展了电子支气管镜(支气管肺泡灌洗、支气管粘膜活检、经支气管针吸活检术、支气管异物取出)、经皮肺穿刺活检、胸膜活检、肺功能、睡眠呼吸暂停监测、呼出气一氧化氮(FeNO)测定、膈肌起搏治疗、无创、有创机械通气、高流量湿化氧疗、肺癌化疗、靶向、免疫治疗等诊疗技术;对慢性咳嗽、慢性阻塞性肺疾病、支气管哮喘、支气管扩张、肺部感染性疾病、胸腔积液、肺癌、呼吸衰竭、睡眠呼吸暂停、间质性肺病等有丰富的诊疗经验。
联系电话:
科室电话:0795-8981733
宋扬医师:15970536310
杨文兴医师:15279507420