近日,一位年轻男性患者因畏寒发热伴右上腹部隐疼来我院就诊,入院完善相关检查后,临床诊断肝脓肿,拟行肝脓肿置管引流。
超声所见:肝多发脓肿,其中已完全液化较大者位于右肝前叶上段(图1),故拟行经皮右肝前叶上段脓肿穿刺置管引流术。

图1 红色圆圈处为肝脓肿
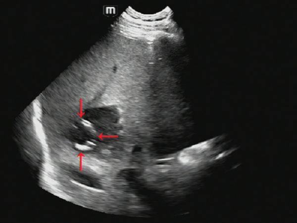
操作过程:患者左侧卧位,对右肝前叶上段脓肿选择穿刺点,常规碘伏消毒后铺巾,超声引导下以1%盐酸利多卡因逐层浸润麻醉至肝包膜,选8F套管针直接穿刺法(一步法)穿刺,超声监视下引流管避开肝内血管及胆管,到达脓腔后拔出穿刺针及支撑管(图2、图3),用注射器抽出脓液10ml后(图4),接引流袋固定。
操作用时6分钟,整个过程快速、精准、安全,患者无明显不适反应。

图2 红色箭头所指白色线条为套管针

图3 红色箭头所指白色线圈为拔出穿刺针后留置的引流管

图4 注射器抽出红褐色脓液10ml
患者于置管引流术后4天复查,右肝前叶上段脓肿基本引流干净(图5)。

图5 红色圆圈处所示脓肿基本引流干净
肝脓肿是全身细菌性感染,特别是腹腔内感染时,细菌侵入肝脏,如病人抵抗力弱,则可发生肝脓肿。未经治疗的肝脓肿患者死亡风险较高,最常见的死亡原因包括脓毒血症、多器官功能衰竭及肝功能衰竭。
超声引导下经皮肝穿刺脓肿置管引流术作为肝脓肿的首选治疗方式,与传统切开引流相比具有操作简便、微创、安全、疗效可靠等优点,尤其对于术后及年老体弱的危重患者具有特殊的应用价值,不仅减轻了患者的痛苦,而且避免了因再次手术带来的风险。
我院超声介入室目前可开展的技术项目有:肝脏、肾脏、前列腺、肺部等深部脏器及淋巴结、乳腺、软组织肿瘤等浅表部位的穿刺活检,甲状腺细针抽吸细胞学检查(FNA);胸腔积液、腹腔积液及心包腔积液置管引流,肝脓肿置管引流,胆囊置管引流,肝内胆管置管引流(PTCD);肝囊肿、肾囊肿、甲状腺囊肿硬化治疗等。
科室地址:宜春学院第一附属医院万载县人民医院门诊医技楼三楼超声诊断科。
科室电话:0795-8981297
丁医生:15083953629
柳医生:18107958316