近日,一位老年男性患者,因偶尔咳嗽,痰不多,近日自觉头晕,症状加重,来我院就诊。胸部增强CT示:左上叶占位性病变,考虑为中央型肺癌并阻塞性肺炎,肺不张;肺门及纵膈淋巴结转移。行纤维支气管镜检查提示左肺上叶占位,取组织活检,病理回报未取到肿瘤组织。为进一步明确诊断,遂行超声引导下肺部穿刺活检。
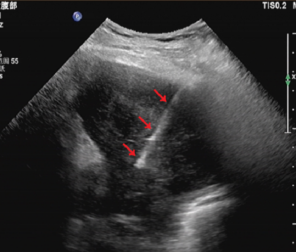
超声提示:左上肺实变,靠近肺门部可见一大小约5.5*5.0cm中等回声(图1),形态不规则,边界模糊,其内无血管征及支气管充气征。

图1 红色圆圈区域为左上肺病变
穿刺过程:患者平卧位,对左上肺中等回声超声引导下选择穿刺点,常规碘伏消毒后铺巾,以1%盐酸利多卡因局部麻醉至壁层胸膜,避开血管处,以18G穿刺针在彩超引导下穿刺病变部位(图2),取出组织3条(图3),送病理检查。

图2 红色箭头所指白色线条为进入肺部病变部位的穿刺针

图3 取得肺部病变组织3条
病理结果:肺穿刺活检标本符合鳞状细胞癌,不排外合并有内分泌癌的可能。

图4 病理结果
什么是超声介入?
超声介入是在超声显像基础上为进一步满足临床诊断和治疗的需要而发展起来的一门新技术,是现代超声医学的一个分支。其主要特点是在实时超声的监视或引导下,完成各种穿刺、活检、置管、抽液、注药、消融治疗等操作。使患者避免了传统外科手术的痛苦,达到甚至超越外科手术的诊疗效果。超声介入是一种超微创诊疗技术,其核心宗旨是用最小的创伤取得最佳的治疗效果。超声介入诊疗具有精准、安全、操作简便、超微创、痛苦小、疗效好、无需住院或者住院时间短等诸多优点,符合现代微创医学、快速康复的治疗理念。
如下视频显示了超声引导下淋巴结穿刺活检,可全程清晰显示穿刺针,使穿刺过程精准、安全。
我院超声介入室目前可开展的技术项目:肝脏、肾脏、前列腺、肺部等深部脏器及淋巴结、乳腺、软组织肿瘤等浅表部位的穿刺活检,甲状腺肿瘤细针抽吸细胞学检查(FNA);胸腔积液、腹腔积液及心包腔积液置管引流,肝脓肿置管引流,胆囊置管引流,肝内胆管置管引流(PTCD);肝囊肿、肾囊肿、甲状腺囊肿硬化治疗等。
地址:宜春学院第一附属医院 万载县人民医院门诊医技楼三楼超声诊断科
电话:0795-8981297