近日,宜春学院第一附属医院 万载县人民医院消化内科团队成功完成了一例不典型急性多发粪石梗阻化脓性阑尾炎经肛门超级微创手术-肠镜下阑尾窝密闭冲吸术。该术式不用开刀,不切阑尾,不留疤痕,经自然腔道完整保留了阑尾及其功能。
患者张某某,因突发持续性中上腹痛12小时入住消化内科。早上消化内科主任陈虎副主任医师带领消化内科团队对该患者进行病情分析:患者剑突下压痛明显,相关检查诊断首先考虑胃部疾病,不完全排外急性阑尾炎可能,嘱完善全腹部CT和胃镜检查。后CT回报:阑尾炎并粪石梗阻可能?陈虎主任指示:目前考虑不典型急性阑尾炎,阑尾粪石堵塞可能性大,可行结肠镜下逆行阑尾炎治疗术,该治疗方式不仅能够避免外科腹壁切开,还能保留阑尾及其功能,必要时经肠镜即可将阑尾粪石取出。患者术后腹痛症状即刻缓解,效果立竿见影,得到患者及家属的高度赞赏。




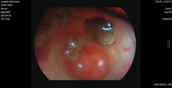
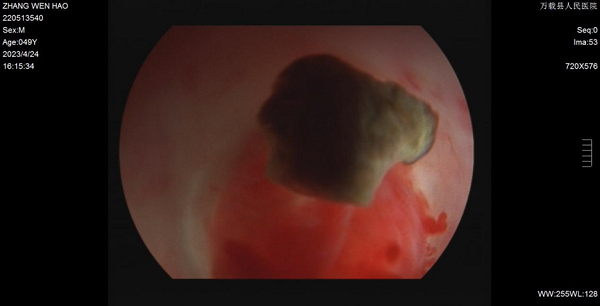
阑尾粪石

阑尾脓液

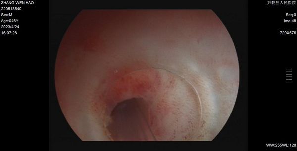
注射导管插入阑尾腔内持续冲吸
急性阑尾炎是临床常见急腹症,传统治疗手段有:开腹阑尾切除术、腹腔镜下阑尾切除术、抗生素保守治疗。但阑尾切除术存在术后切口感染、出血、术后肠粘连、阑尾残株炎、粪瘘等并发症,抗生素保守治疗患者往往病情反复发作,迁延不愈。内镜下阑尾窝密闭冲吸术是一种无需开刀、完整保留阑尾及其功能、无体表疤痕、术后恢复快、医疗费用低的微创治疗方式。
科室简介
宜春学院第一附属医院 万载县人民医院消化内科现设置床位66张,医务人员25名,医生8名,护理17名,正高2名,副高1名,中级职称13名。拥有三套内镜主机、10条胃肠镜及十二指肠镜、规范的清洗消毒设备。年内镜检疗量7800余人次,内镜下手术治疗1000余台次。经过多年来的不懈努力,我院消化内科已开展无痛胃肠镜、碳13呼气试验、胃肠息肉高频电凝电切术、食管静脉曲张套扎术、胃底静脉曲张组织胶注射术、内镜下钛夹止血术、内镜下NTAN止血术、消化道异物取出术、内镜下支架置入术、内痔内镜下套扎术及硬化术、阑尾炎经肛门超级微创手术、内镜下粘膜切除术(EMR)、内镜下粘膜剥离术(ESD)、ERCP、超声内镜、磁控胶囊内镜等先进技术。其中肝硬化食管胃底静脉曲张止血术及内痔套扎术在全国比赛获奖。被宜春市科技局批复创建“宜春市胃肠病临床医学中心”。多次举办省市级学术会议。
联系人:陈虎 15907958598
高峰 15170569922
科室地址:消化内科胃肠镜室(外科楼4楼)
文图丨消化内科 龙金梅
编辑丨钟利姚
审核丨周 斌
终审丨龙启明